症例
即日負荷(イミディエート・ローディング)
- POSTED:
- TAGS:
- イミデュエート
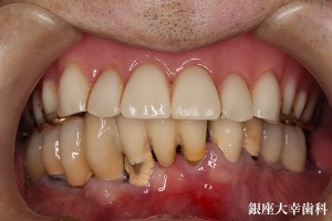
この患者さんは70歳代の後期高齢者の男性です。 下の前歯に著しい歯周病があり、前歯のブリッジがグラグラで、 豆腐くらいしか食べることが出来ませんでした。
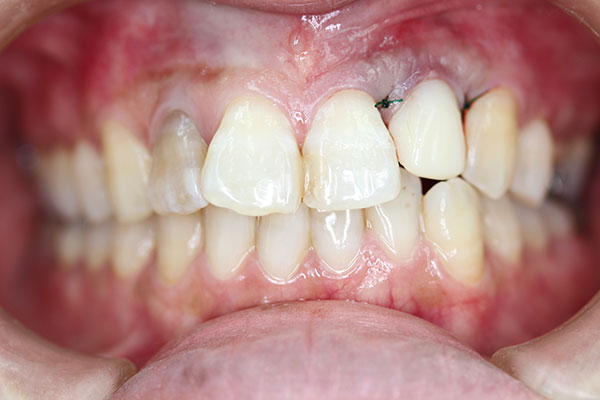
抜歯即日にインプラントを埋入し仮歯が入る、即日負荷( イミディエート・ローディング)を行いました。
↑術前
↑術前2
↑インプラント埋入時に即日負荷(その日のうちに仮歯を入れたところです。)
↑歯ぐきが創傷治癒したところ
極端に歯ぐきの退縮がありましたので、 歯肉色を付けた上部構造にしました。
審美的には難がありますが、短期間で最終補綴が入り、 噛めるようになったので、患者さんは満足していました。
プラークコントロールも不完全でしたので、 しばらくは3か月おきの検診を行っていきます。
↑<術後01>
↑<術後02>
- POSTED:
- TAGS:
- イミデュエート
症例一覧
- 科学的根拠をもとに行われた
さまざまな症例をご確認ください。

シミュレーション通りにオペが出来るようにガイドを作成します。
ガイドを使って正確にインプラントを埋入します。左の図はフラップレス用ガイドです。右はフラップ手術用のガイドです。基本的にはフラップレスの方が負担も少なく良好な経過が得られます。
基本的に4本または6本のインプラントで支えることが可能です。
事前に作成しておいたブリッジ(固定式の入れ歯)を当日に装着して完了です。






