症例

インプラント・即日負荷を行った症例

POSTED:
TAGS:
インプラント

この患者さんは歯ぎしりによる咬合性外傷(負担過重)により、歯の抜歯を余儀なくされた症例です。
抜歯後即日にインプラント埋入、即日に仮歯を入れる即日負荷(イミディエート・ローディング)を行った症例です。

術後、歯ぎしりした時に強く負荷がかからないように調整したクラウンを入れました。
専門的には犬歯に負担を分散する(犬歯ガイド)を付けた噛みあわせにしています。


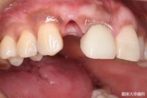
1
↑インプラント埋入後


2
↑ジルコニアアバットメント挿入後、最終補綴物(ジルコニア・クラウン)セット後


3
↑(術後)クラウンを入れています。

POSTED:
TAGS:
インプラント