症例
グラスファイバーポストの症例
- POSTED:
- TAGS:
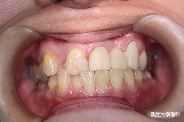
この症例は15年前に治療した前歯のブリッジが虫歯によりグラグラするのが主訴です。
ブリッジと土台のあいだに大きなすき間が認められ、虫歯になっています。
ブリッジも外れかかっていて、大きく動揺しますが、土台の歯が歯周病になっている訳ではなく、土台やブリッジの不適合が問題でした。
まず、ブリッジと金属の土台を撤去し、虫歯を徹底的に除去しました。
次に、グラスファイバーポストで歯を補強して、支台歯形態を形成して、仮歯を入れていきます。
<ブリッジを外し、虫歯を除去するまで>
<グラスファイバーポストと、仮歯を入れるまで>
グラスファイバーポスト形成後と、仮歯が入ったところです。
一時間の治療でここまで進みます。
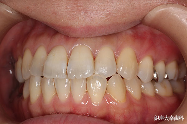
次回、型どりして最終的なジルコニア・ブリッジを入れます。
治療期間は3回で、期間は3週間で完了です。
<人口歯(ブリッジ)を入れたあと>
↑最終人工歯(ブリッジ)が入ったところ
- POSTED:
- TAGS:
症例一覧
- 科学的根拠をもとに行われた
さまざまな症例をご確認ください。

シミュレーション通りにオペが出来るようにガイドを作成します。
ガイドを使って正確にインプラントを埋入します。左の図はフラップレス用ガイドです。右はフラップ手術用のガイドです。基本的にはフラップレスの方が負担も少なく良好な経過が得られます。
基本的に4本または6本のインプラントで支えることが可能です。
事前に作成しておいたブリッジ(固定式の入れ歯)を当日に装着して完了です。








