症例
インプラントの症例
- POSTED:
- TAGS:
- インプラント
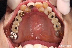
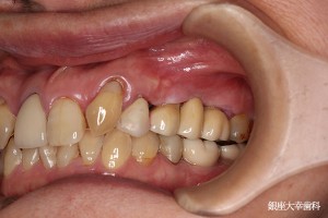
60代女性、長年部分入れ歯を使用していた患者さんです。
他の歯科医院では骨が薄いためにインプラント治療を断られ、 治療をあきらめて自費で高価な部分入れ歯を作ったそうです。
どうしてもあきらめきれずに、友人のご紹介で来院された方です。
両側とも3~4㎜ほどしかこと幅がありませんでしたので、 サイナスリフトを行い4か月経過してからインプラントを埋入しま した。
インプラント埋入後も4~ 5ヶ月経過を観てから最終人工歯を入れましたので、 延べ1年近く治療期間を要した症例です。
- POSTED:
- TAGS:
- インプラント
症例一覧
- 科学的根拠をもとに行われた
さまざまな症例をご確認ください。

シミュレーション通りにオペが出来るようにガイドを作成します。
ガイドを使って正確にインプラントを埋入します。左の図はフラップレス用ガイドです。右はフラップ手術用のガイドです。基本的にはフラップレスの方が負担も少なく良好な経過が得られます。
基本的に4本または6本のインプラントで支えることが可能です。
事前に作成しておいたブリッジ(固定式の入れ歯)を当日に装着して完了です。








