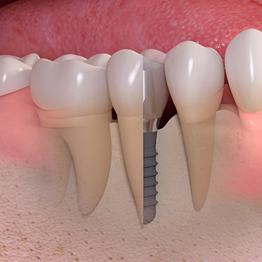
大幸歯科のインプラント治療は、歯科用インプラントおよび口腔組織再生におけるグローバルリーダー、Straumann社のチタン・ジルコニウム(TiZr)インプラントを使用しております。

チタン・ジルコニウム(TiZr)は歯科用インプラントに特化した画期的なマテリアルです。純チタンよりも高強度、そして他のチタン合金と比べて、より優れた骨結合を可能にします。疲労強度で24%高強度であり、早期治癒を考慮した表面加工により、1カ月で総合的な安定性を示します。
TiZr(チタン・ジルコニウム)インプラントは純チタンインプラントと比べると、磁気に反応して発熱することも軽減されます。頭部MRI撮影時の影響も軽減されますので、安心して治療することができるのもメリットです。
“チタン・ジルコニアインプラントは堅牢!”
特徴1
疲労強度試験
ISO14801の疲労試験を実施しており、その疲労強度の優秀性は実証されております。

Straumann社のチタン・ジルコニウム(TiZr)インプラントは、
従来のインプラントに比べて、疲労強度において24%向上しております。
素材が堅牢であるため、人体に対する影響が軽減されます。
“早く治りやすい!”
特徴2
早期治癒性試験

左図は親水性試験の際の写真です。親水性が高いため、体組織との融合・骨結合が従来のインプラントより促進され、早期治癒につながります。
※左が従来のインプラント。右がチタン・ジルコニウムインプラント
早期治癒を考慮した表面加工により、
約1カ月で総合的な安定性を示します
時間経過による安定性曲線

上図でもわかるように、チタン・ジルコニウムインプラントは、術後2週間で安定し、4週間で骨結合が最大化します。ですから、外科的侵襲が少なく、骨結合の早期促進が可能になり、難易度の高い症例でも、より高い予知性を提供することができます。

イヌを用いた前臨床研究で、チタン・ジルコニウムインプラントでは従来のインプラントよりも統計学的に優位性を示し、また、成熟した骨の形成を促進することが示されました。
“チタン・ジルコニアインプラントを使った症例”
症例1
TiZr(チタン・ジルコニウム)インプラントの症例と治療法
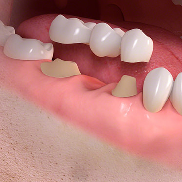
“ブリッジについて”
症例2
ブリッジについての解説 - 右下の臼歯部を三本失った場合
インプラントを複数本使ったブリッジ - 右下の臼歯部を三本失った場合
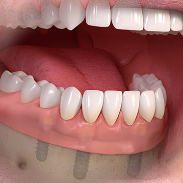
“総入れ歯について”
症例3
全部の歯を失う症例は大きく分けると2種類あります。
ムシ歯で歯を失った場合と歯周病で歯を失った場合。
両者では、残っている骨の厚みが大きく違うため、それぞれ適切な治療法が求められます。
虫歯などにより歯をすべて失った場合 -比較的骨の厚みがある場合-
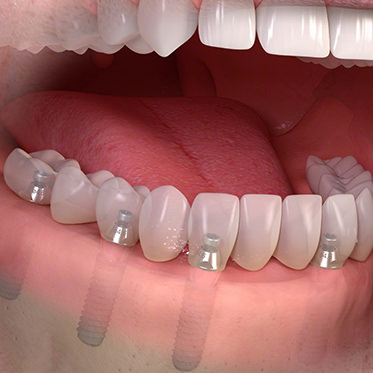
歯周病などにより歯をすべて失った場合 -比較的骨の厚みが薄い場合-
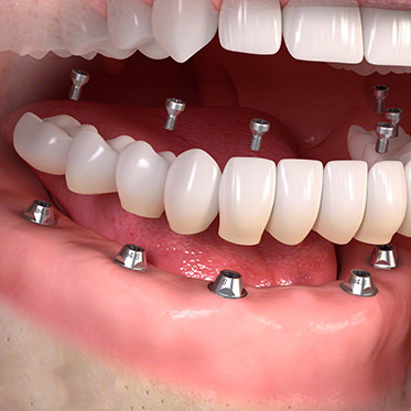
歯周病などにより歯をすべて失った場合 -かなり骨の厚みが薄い場合-
“前歯の治療”
症例4
虫歯などにより歯をすべて失った場合 -比較的骨の厚みがある場合-
ずっと付き合う歯だからこそ、
長期的な安心を目指します
インプラント体(フィクスチャー)には10年保証を付与しております。
ただし、半年に一回のメンテナンスを必ず受けていただくことと、喫煙者は禁煙をしていただくことを条件とさせて頂いておりますのでご注意ください。また、人工歯などは5年保証となります。
ノーベル、アストラ、ストローマン、各社、メンテナンスも対応。

インプラントの治療費
料金の目安
| 通常の1歯欠損(カウンセリング~セラミックの最終補綴まで総額) | ¥330,000(税別) |
術前
| 初診相談(30分程度) | 無料 |
| CT検査・型取り・模型作成・カウンセリング・治療計画 | ¥3,000~5,000(税別) |
手術費
| インプラント体(フィクスチャー)埋入手術費 | ¥150,000(税別) |
| オプション | 多少骨の造成が必要で、自家骨や補填剤が必要な場合 | ¥50,000~100,000(税別) |
| オプション | 大きな骨移植が必要で、複雑な術式を行う場合(サイナスリフトなど) | ¥100,000~150,000(税別) |
| オプション | 前歯などの審美的要求の高い症例での結合組織・移植 | ¥50,000(税別) |
※骨の状態にもよりますのでご相談ください。
アバットメント(インプラントと人口歯をつなぐ部分)
| 二次手術(2回法の場合、2次オペに必要な衛生管理費) | ¥10,000(税別) |
| 一般的なチタン製の上部構造 | ¥50,000(税別) |
| オールオン4などに使うマルチ・アバットメント | ¥70,000(税別) |
| 審美性の高いジルコニア・アバットメント | ¥60,000(税別) |
人口歯(クラウン)
| ジルコニア・クラウン | ¥120,000(税別) |
| オール ジルコニア・クラウン(歯軋りなど噛合せが強い場合) プレミアム ジルコニア・クラウン(VICERA) |
¥120,000〜¥140,000(税別) |
ドクター紹介
美しく機能的な口元づくりをサポートいたします。
近年、歯科医学の進歩は目覚しく、マイクロスコープやCTを使うことにより、正確な審査・診断が可能になり、精密な根管治療が可能になりました。さらに不幸にして歯を失ってしまった人々のために、より改良されたインプラントが登場し、今では安全性の高い治療法として確立しております。審美に関しても、治療法やジルコニアに代表される材料の進歩には目を見張るものがあります。矯正治療に関しても、歯を抜くことなく、痛みも少なく治療することが出来ます。そして、子供だけではなく、成人も治療が可能になりました。
インターネットの普及にともない、数多くの情報が氾濫し、正しい情報を選別することが困難な時代になってきました。 長くこの分野で治療を行ってきた経験から、そのような未知の分野に重点をおき、正しい情報を分かりやすく解説したいと思います。
経歴
1996年日本大学歯学部卒業
1996年~1998年大学病院にて研修
1998年~1999年カリフォルニア大学ロサンゼルス校
歯学部卒後研修
1999年~2004年都内歯科医院勤務
2004年銀座大幸歯科 開業
2018年順天堂大学院医学研究科博士課程卒業
2019年医学博士 学位授与
順天堂大学研究員
アクセス・クリニック紹介
銀座大幸歯科
- <住所>
- 〒104-0061
東京都中央区銀座6-7-7第三岩月ビル8F - <営業時間>
-
月~金:10:00~13:00/14:30~19:00
土 :10:00~13:00/14:30~17:00
※日曜日・祝祭日は休診日です。 - <診療科目>
-
一般歯科/インプラント/根管治療/審美歯科治療/
歯科治療に関するセカンドオピニオン
アクセス
〒104-0061
東京都中央区銀座6-7-7 第三岩月ビル8F
- ■銀座線銀座駅
- A2 出口より 徒歩2分
B3 出口(アルマーニタワー)より1分 - ■JR新橋駅
- 徒歩7分
- ■JR有楽町駅
- 徒歩6分
















